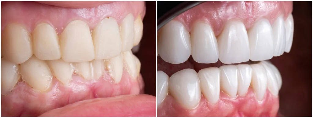
Veneers – Das Hollywood Lächeln
Porzellan und Komposit Veneers sind heutzutage besonders erfolgreich, weil nur sehr wenig Zahnschmelz abgeschliffen wird, die Zähne müssen nicht gleich eine Krone bekommen, noch dazu sind Veneers sehr schön und haltbar.
WAS BEDEUTET KOMPOSIT VENEER?
Das Komposit Veneer bedeutet, dass der Zahn nicht abgeschliffen wird, es wird auch kein Abdruck gemacht und kein Zahntechniker gebraucht, sondern die gesamte Behandlung wird innerhalb der Zahnarztpraxis in einem oder maximal 2 Schritten durchgeführt.
Nach dem Entfernen der alten Füllungen und der verschmutzten Teile baut der Zahnarzt den Zahn auf und bedeckt ihn dann mit einer ästhetischen Verbundschale. Dies erfordert spezielle Techniken und die künstlerische Sensibilität des Zahnarztes.
Während der Behandlung verwendet der Zahnarzt von den tiefen Schichten bis zur Oberfläche Kompositmaterialien mit verschiedener Tönung und Farbe. Das Ergebnis ist eine schöne Restauration, die dem Natürlichen ähnelt.
IN WELCHEN FÄLLEN LOHNT ES SICH, KOMPOSIT VENEERS ZU MACHEN?
Komposit Veneers sind in allen Fällen möglich, in denen kein Zahn fehlt, oder wenn nur ein kleiner Teil von einem Zahn fehlt. Dies ist oft der Fall, wenn Karies oder größere Füllungen auftreten.
Mit Komposit Veneers können auch Form und Farbe der Zähne verändert werden. Es kann auch sein, dass vor dem Aufbau des Komposit Veneers eine Zahnaufhellung gemacht wird, so dass eine neue Zahnfarbe gebildet werden kann, die viel weißer ist als die vorherige.
Das Aufhellen der Zähne und die Komposit Veneers erfüllen zusammen das erwartete Ergebnis. In einigen Fällen entscheiden sich die Patienten für Komposit Veneers, wenn sie zögern, auf Porzellan Veneers zu warten, da für diese auch die Arbeit eines Zahntechnikers benötigt wird, und deswegen längere Zeit in Anspruch nimmt.

PORZELLAN VENEERS – DAS GEHEIMNIS DES HOLLYWOOD-LÄCHELNS
Porzellan Veneers sind die ideale Lösung, um kleinere Formfehler, Verfärbungen und ästhetische Mängel zu vermeiden. Porzellan Veneers sind die eleganteste Errungenschaft der ästhetischen Zahnheilkunde.
Sorgfältiges Design, extrem präzise Vorbereitung vom Arzt und ästhetisch anspruchsvolle Arbeit vom Zahntechniker werden vorausgesetzt. Die Arbeit und die Energie, die ins Spiel kommen, werden belohnt – strahlende, natürlich aussehende, wunderschöne Zähne.
Natürlich ist es auch nicht unwichtig, dass die gesamte Zahnkrone nicht poliert und eine Menge wertvoller Zahnersatz nicht entfernt werden muss, es wird nur auf der Vorderseite des Zahnes gearbeitet.
WIE WERDEN PORZELLAN VENEERS GEMACHT?
Zunächst nimmt der Patient an einer zahnärztlichen Konsultation teil. Er/sie wird vom Zahnarzt gründlich untersucht, danach besprechen sie die Behandlung zusammen.
Dann schleift der Zahnarzt eine minimale Schicht von ca. 0,5 mm von der vorderen Oberfläche des Zahnes ab.
Danach wird ein präziser Abdruck von den Zähnen des Patienten genommen, aufgrund dessen die Zahntechniker die Porzellan Veneers herstellen.
Solange das Veneer gefertigt wird, erhält der Patient ein provisorisches Veneer, um die Ästhetik der Zähne zu schonen und jegliche Beschwerden zu vermeiden.
Das Porzellan Veneer wird bei der nächsten Begegnung mit dem Zahnarzt mit einem sehr starken Spezialkleber fixiert.

WAS SOLL ICH WÄHLEN: KOMPOSIT ODER PORZELLAN VENEERS?
Diese Frage wird oft gestellt, wenn es um die ästhetische Erneuerung der Frontzähne geht. Es gibt signifikante Unterschiede zwischen den beiden Behandlungen.
Die wichtigsten Merkmale von Komposit Veneers:
- schnell
- kann meistens in einer Behandlung gemacht werden
- günstiger
- es wird kein Zahntechniker gebraucht
- schönes, sehenswertes Ergebnis in einer zahnärztlichen Behandlung
Die wichtigsten Merkmale von Porzellan Veneers:
- langsamere Technik
- die Herstellung benötigt 1-2 Wochen
- es wird ein Zahntechniker gebraucht
- teurere Technologie
- mit dieser Technik können die schönsten ästhetischen Eingriffe gemacht werden
Um die Entscheidung zu treffen, müssen diese Überlegungen berücksichtigt werden. Der Preis und die ästhetischen Bedürfnisse des Patienten sind nämlich nicht egal. Wenn man eine der feinsten, natürlichsten und exquisitesten Lösungen sucht, entscheidet man sich sicherlich für Porzellan Veneers. Wenn man jedoch eine schnelle und relativ kostengünstige Lösung sucht, die die Zähne schön und zuverlässig wiederherstellen kann, dann sind Komposit Veneers eine ausgezeichnete Wahl.
NACH DER AUFSETZUNG VON VENEERS
Die Reinigung von Veneers ist von höchster Wichtigkeit. Karies kann sich auf Veneers nicht bilden, aber auf den Zähnen darunter schon. Daher sollte der Rat zur Zahn- und Mundpflege genau beachtet werden.
Porzellan Veneers widerstehen der Verfärbung, die durch Lebensmittel verursacht wird, aber es wird empfohlen, den Konsum einiger Getränke wie Kaffee, Tee oder Rotwein zu reduzieren.
Die Lebensdauer von Veneers ist unterschiedlich. Sie kann von Genetik, Zahn- und Mundhygiene ebenfalls beeinflusst werden. Im Allgemeinen können sich Veneers von 8 bis 12 Jahren halten, aber im Falle einer angemessenen Lebensweise und guter Zahn- und Mundhygiene kann diese Zeit erhöht werden. Am Ende ihrer Lebensdauer fallen sie vom Klebstoff ab. Gegebenenfalls müssen Veneers getauscht werden.

DE
EN
AT
CH


