Den unterschied spüren
Es ist ein ganz anderes Lebensgefühl, ob man mit oder ohne wunderschöne Zähne lebt. Neue perfekte Zähne erlauben nicht nur, alle Speisen mit Hochgenuss zu verzehren, sondern bringen auch das Lächeln, das Selbstvertrauen zurück und lassen einen jünger, gesünder und anspruchsvoller aussehen. Sobald man die neuen Zähne bekommt, muss man nur darauf achten, dass man diese sachgerecht pflegt in dem man z.B. jährlich eine professionelle Zahnreinigung machen lässt.
Zähne vorher/nachher
Die Zufriedenheit der Patienten hat für uns höchste Priorität. Wir freuen uns immer, wenn wir die Freude in den Gesichtern unserer Patienten sehen, nachdem sie ihr neues Lächeln zum ersten Mal gesehen haben. Werfen Sie einen Blick auf unsere Arbeit, sehen Sie sich unsere Vorher/Nachher-Fotos an.
Warnung: Die folgenden Bilder können verstörend sein
Anna K. (H)
SPARK™ Aligner; 32 Wochen
Louis D. (UK)
Spark™ Aligner; 39 Wochen
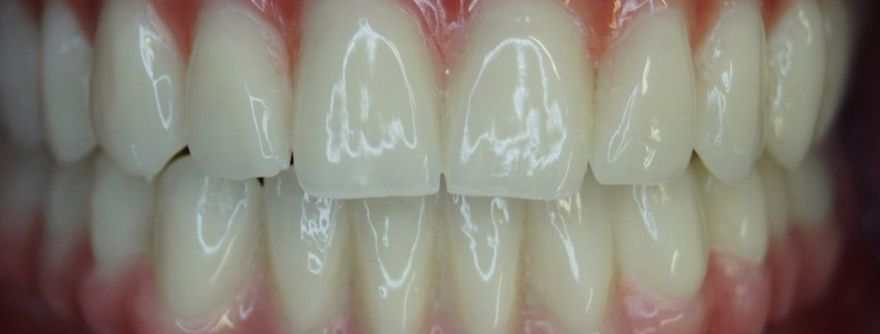
Manuela V. (D)
28 Zirkonkronen, 10 Tage
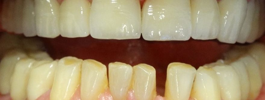
Veronika E. (D)
28 e.Max-Vollkeramikkronen, 10 Tage
Paul R. (D)
12 Zirkonkronen, 5 Tage
Michael P. (CH)
4 e.Max Porzellan Veneers, 5 Tage
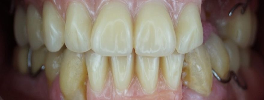
Hardi P. (D)
7 Implantate, 13 Zirkon-Teleskopkronen, Ober- und Unterkiefer-Teleskop-Prothesen BioHPP (Premium), 12 Tage
Sarah H. (D)
20 Porzellan-Metall-Kronen,
5 Tage

DE
EN
AT
CH


